Clarity™ Advanced
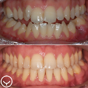
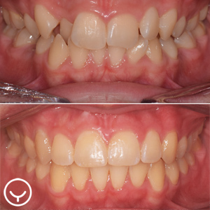
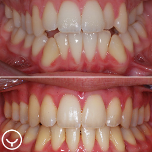
Clear ceramic braces are the standard for all of our patients allowing them to make a less noticeable statement with their commitment to a healthier set of teeth. Clear braces work like metal braces, only better because they blend in with your teeth for a great look that keeps you smiling during and after your treatment.
To Learn More
Clarity™ ADVANCED ceramic brackets patient brochure
Clarity™ ceramic brackets patient brochure

An orthodontist can treat all types of orthodontics problems from the least complex to the more challenging ones. The orthodontist is well trained to detect those problems that are not so obvious. They also treat simpler cases, like aligning a single crooked tooth.