Invisalign®
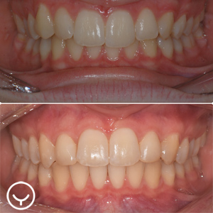
Invisalign® redresse vos dents à l'aide d'une série de gouttières amovibles transparentes créés à votre mesure. Ces gouttières amovibles transparentes sont faits de plastique lisse, confortable et pratiquement invisible que vous portez sur vos dents. Progressivement et doucement, elles déplacent vos dents. Aucun crochets métalliques pour attacher ou fils pour ajuster. Vous changez simplement de gouttière environ toutes les semaines, jusqu'à ce que votre traitement soit terminé.
La clinique est certifiée Invisalign® depuis 1999 et nos orthodontistes possèdent les connaissances spécialisées pour déterminer si Invisalign® est un bon choix de traitement pour vous. Yul Ortho est fière d’être un fournisseur préféré d’Invisalign®.

Pour en apprendre plus au sujet des gouttières transparentes Invisalign® cliquez ici
Non seulement l’orthodontiste peut traiter tous les types de problèmes orthodontiques, peu importe la complexité, mais il est aussi en mesure de diagnostiquer des problèmes plus difficiles à détecter. Bien entendu, il est également disponible pour traiter des cas simples comme aligner une seule dent croche.